Zrejme sa ho chceli zbaviť!
MUSEL VRAJ UTRPIEŤ PÁD Z VEĽMI VEĽKEJ VÝŠKY!
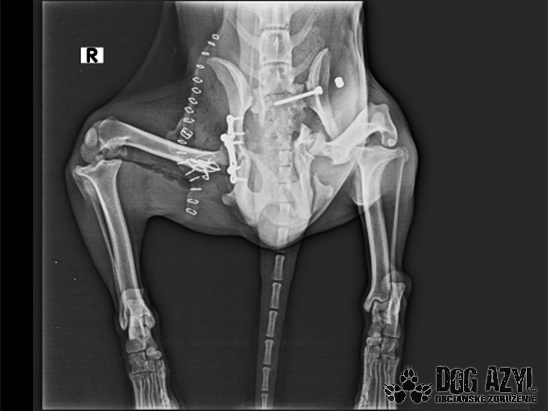
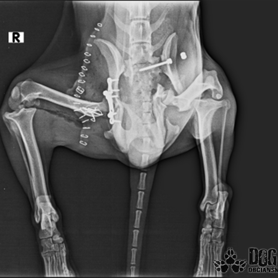
Vianoce nám klopú na dvere a mali by to byť sviatky radosti a pokoja. No u nás nebudú a pre malého Jamesa už vôbec nie. Malého Jamesa sme prijali s mnohonásobnými fraktúrami panvy. Presnejšie, s obojstrannou iliosakrálnou luxáciou/fraktúrou, viacnásobnou fraktúrou panvy, vrátane fraktúry kranialneho acetabula obojstranne. Áno, znie to hrozivo a keď si pozriete snímky z RTG, bude to ešte hrozivejšie (ďalšie snímky ešte doplníme).
Viete si predstaviť, čo si tento malý úbožiak musel vytrpieť? Nie, ani mi si to radšej nechceme predstaviť.
Malý James, po príjme do útulku, dostal prvú pomoc a boli mu vykonané základné testy u nášho úžasného veterinára. Mal asi milión bĺch a kliešte sme ani nestíhali počítať keď sme ich vyberali! Po stabilizácii sa previezol a hospitalizoval na klinike SIBRA v Bratislave.
Aj keď sa ledva vedel postaviť, tešil sa každému a najradšej by vbehol rovno do náručia. Mali sme však obavy z toho najhoršieho, že už nikdy nebude chodiť..
MVDr. Varolík nás ale uistil, že malý bude v poriadku, že sa nu dá pomôcť.
Čakali ho teda štyri, veľmi náročné ortopedické operácie, takže sa musel trocha posilniť. Do starostlivosti si ho vzala MVDr. Panyi Terzieva a 17.11. mohol absolvovať prvú operáciu. V "prvom kole" krpec zvládal anestézu tak dobre, že sa rovno mohli spojiť dve operácie a tak sa celá ľavá strana dala do poriadku. Zostal samozrejme naďalej hospitalizovaný. Ďalší zákrok sa naplánoval na 20.11. a našťastie opäť všetko prebehlo hladko, a zoperovala sa celá pravá strana(nechceme sa dlho rozpisovať, prikladáme lekársku správu). James bol prepustený 24.11. ako chodiaci pacient a bez problémov ovládal aj vylučovanie! Je to priam zázrak, za ktorý opäť vďačíme MVDr. Vatolíkovi a jeho teamu.
8.12. sme s Jamesom absolvovali kontrolu, vybratie stehov a malý James všetkých na klinike prekvapil. Nikto neveril, že za tak krátky čas sa tak fantasticky zotaví, ale my sme vedeli, že naša dočaskárka Editka ho postaví rýchlo na nohy, a tak sa aj stalo. James si prešiel už peklom na zemi. Netušíme ako dlho trpel tými bolesťami, ale fraktúry boli už chronické, to znamená, že sa nestali dva dni pred tým ako sme ho prijali. Je to bojovník, ale k úplnému zotaveniu je cesta ešte dlhá! My samozrejme bojujeme pre neho a s ním! Momentálne potrebuje kľudový režim a pekne postupne predlžovať prechádzky. Žiadne skákanie, behanie.. Ale raz opäť bude behať a to je neopísateľný pocit!
James určite neliezol na žiaden rebrík ani na žiadnu strechu sám, aby odtiaľ potom spadol, takže je dosť pravdepodobné, že mu to spôsobil človek! Nejaká obluda, ktorá sa ho zrejme chcela zbaviť! James je úžasný, tešivý, radostný psík, ktorý miluje všetko a každého.
Zabezpečili sme pre neho všetko, aj sme si odložili na jeho faktúru 870€ ale stále nám chýba 1772,65€. Veľmi pekne prosíme, pomôžte nám.
Ja viem, idú Vianoce, výdavky sú veľké, ale tento krpec zabojoval zo všetkých síl aby mohol žiť šťastný život a to je neoceniteľné!
ĎAKUJEME, že nám pomáhate pomáhať!
Číslo účtu:
Pre Slovensko Tatra Banka:
IBAN: SK4811000000002926895003
SWIFT: TATRSKBX
Účel platby: JAMES
Pre Českú republiku FIO (transparent):
2101538925/2010
Účel platby: JAMES
Benefičný kalendár: https://dogazyl.sk/novinky/kalendar-2021
PayPal: dogazyl@azet.sk
2% z dane: https://dogazyl.sk/podporte-nas#dane_2
ZO SRDCA ĎAKUJEME ZA PRÍSPEVKY!
ZOZNAM DARCOV: 1.426,41€
| Iveta Rogulová | 5,00 € |
| Melková Mária | 20,00 € |
| Klaudia Kršáková | 25,00 € |
| Kallaiova Janette | 40,00 € |
| Klenova Svetlana | 50,00 € |
| Martina Urigová | 6,00 € |
| Vladimír Filipak | 30,00 € |
| Elena Fabová | 10,00 € |
| Slavikova Zita | 6,00 € |
| Hundt Christina | 20,00 € |
| Zuzana Zurianova | 10,00 € |
| Kormancik Matej | 10,00 € |
| Katarína Slávik | 20,00 € |
| Olívia Žoková | 10,00 € |
| Katarína Kurincová | 5,00 € |
| Janete Kozarova | 5,00 € |
| Stano Milan | 30,00 € |
| Calbu Sonia | 50,00 € |
| Chodelková Iveta | 10,00 € |
| Ján Kmec | 20,00 € |
| VET-LOMPI s.r.o. | 50,00 € |
| Gyurkovics Eva | 10,00 € |
| Kazmer Erika | 15,00 € |
| Kizsanova Lilien | 10,00 € |
| Malinka Michal | 10,00 € |
| Marta Styczyńska | 5,00 € |
| Hudecova Barbora | 10,00 € |
| Daniš Peter, Bc. | 50,00 € |
| Martina Rybickova | 20,00 € |
| Železňáková Daniela | 30,00 € |
| Anna Jarabkova | 25,00 € |
| Andrea Horváth Mocková | 10,00 € |
| Monika Semkova | 20,00 € |
| Mesko Jozef | 20,00 € |
| Barbora Krištofovičová | 20,00 € |
| Bianka Lázárová | 10,00 € |
| Ildikó Csémiová | 10,00 € |
| Lucia Mičková | 30,00 € |
| Bianka Foukalová | 10,00 € |
| Monika Vargová | 10,00 € |
| Andrea Vargová | 20,00 € |
| Miroslava Ševčovicová | 100,00 € |
| Zuzana Sidóová | 50,00 € |
| Winona Igarová | 5,00 € |
| Zuzana Sidóová | 50,00 € |
| Estera Patasiová | 30,00 € |
| Tilandyová Sylvia | 25,00 € |
| Kovárová Alexandra | 20,00 € |
| Lauková Katarína Bc. | 10,00 € |
| Puskel Lucia | 10,00 € |
| Gregušová Emília, Ing | 10,00 € |
| Polačková Zuzana | 20,00 € |
| Gembická Marcela | 10,00 € |
| Sedlákova Darina | 10,00 € |
| Hadnagyová Dana Mgr. | 7,00 € |
| Ondrejčáková Miriam, | 20,00 € |
| Manduchová Drahomíra | 20,00 € |
| Somorovská Monika | 10,00 € |
| Lenka Urbanova | 9,72 € |
| Ruzickova Alena | 500,00 CZK |
| Martina Kvaltýnová | 300,00 CZK |
| Jelinkova Miroslava | 1 500,00 CZK |
| Payer Marie | 100,00 CZK |
| Koubová Jana | 1 000,00 CZK |
| Sedlakova Vera | 500,00 CZK |
| James | 150,00 CZK |
| Součková Alena | 500,00 CZK |
| Nováková Martina | 500,00 CZK |
| Šolcová Kateřina,Mgr | 1 000,00 CZK |