Je neuveriteľné, že vôbec prežila!
MIA UŠLA Z KATASTROFÁLNYCH PODMIENOK A VYHLA SA SMRTI LEN O CHLP
Mia si toho v živote vytrpela zrejme už neúrekom. Toto malinké útlunké stvorenie skončilo z dobrej vôle v zlých rukách, až nakoniec skoro fatálne!
Ako sme sa dozvedeli, Mia bola pred rokom z rodinných dôvodov darovaná. Rodina, ktorá si ju osvojila, zahrala herecký výkon hodný Oskara. Prvých pár mesiacov dostávala pôvodná rodina krásne fotky a pozdravy, ale jedného dňa sa Miina nová rodina prestala ozývať, nedvíhala telefón, až nakoniec zablokovala čísla. Strach o Miu síce bol, ale dôvera na základe videného a počutého asi väčšia.
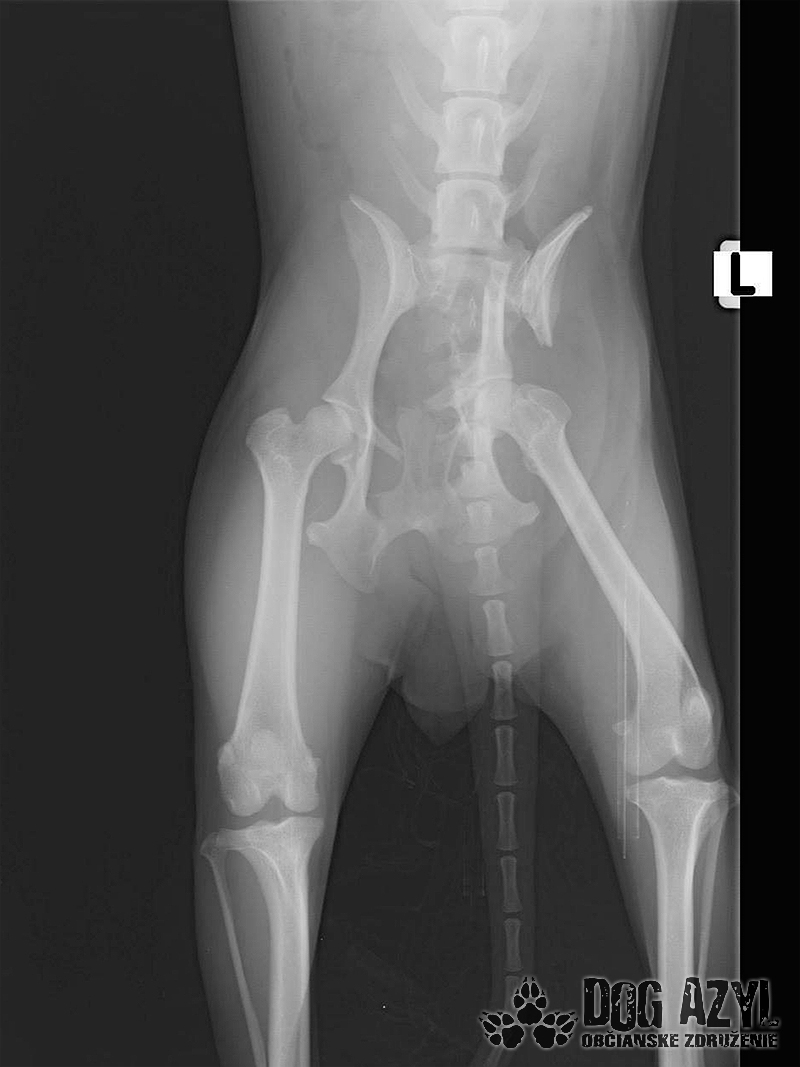
Skoro presne do roka a do dňa sa Mia našla v stave, v akom ju môžete vidieť na prvom obrázku. Pátraním sme sa dozvedeli, že z neuvedeného dôvodu dali Miu preč a skončila u miestneho asociála na dvore. Aj keď mali podporu pôvodnej rodiny, že keby sa čokoľvek dialo, vezmú si ju naspäť, alebo budú hľadať náhradné riešenie, "super rodinka" to vybavila po svojom, vyšmarila ju ako odpad!
Na kosť vychudnutej, dehydrovanej. Miuške sa zrejme podarilo ujsť z pekla v ktorom žila, ale vbehla rovno pod kolesá auta. Niet sa čo čudovať, veď cez tú guču chlpov nemohla vidieť ani na meter pred seba!!
Bola neskutočne zanedbaná, hladná a dolámaná. Panvu má zlomenú na troch miestach, od úderu jej praskol močový mechúr a mala na sebe snáď všetky blchy sveta, žrali ju zaživa. Zotavuje sa.. Pomaličky, ale zotavuje sa po náročných operáciách a dúfame, že bude opäť v poriadku. Bude potrebovať rehabilitovať, aby vedela opäť behať, ale zabezpečíme jej úplne všetko, čo bude treba!!
A teraz si kladiete otázku, že prečo my a nie pôvodná rodina, že? Lebo sme tu pre to aby sme pomohli psíkom, ktorí majiteľa nemajú, alebo ich majitelia nemajú možnosť pomôcť im. Rodina sa s Miou musela rozlúčiť pred rokom z vážnych dôvodov, ktoré samozrejme rozoberať nebudeme. Mia má teraz nás a samozrejme Vás. Je to skromné, pokorné a neskutočne prítulné stvorenie, ktoré so sebou i napriek bolestiam nechá robiť čokoľvek lebo vie, že sa to robí v jej záujme. Mimi (ako ju volám) bude mať 17.5.2021 šieste narodeniny a dala som jej sľub, že poprosím dobrých ľudí, aby sme oslavovali spolu jej nový začiatok. Prijali sme ju pod naše združenie s vierou, že keď sa spojíme pre jej dobro, zvládneme náklady na operácie a rehabilitácie. Pomôžete nám prosím? Sú to opäť nečakané náklady, na ktoré sme neboli pripravené, úspory žiaľ už nemáme žiadne a príjem z 2% je ešte v nedohľadne. Prikladáme aj Miuškinu faktúru za ortopedickú operáciu, rekonštrukciu panvy. Faktúru za operáciu prasknutého mechúra ešte nemáme, a s rehabilitáciou ešte iba začneme. Pomôže nám ozaj každé euro.
Mimi má obrovskú chuť do života, teší sa zo všetkého, ale najviac má rada prechádzky :)
Ďakujeme, že nám ponáhate pomáhať!
Číslo účtu:
Pre Slovensko Tatra Banka:
IBAN: SK4811000000002926895003
SWIFT: TATRSKBX
Účel platby: MIA
Pre Českú republiku FIO (transparent):
2101538925/2010
Účel platby: MIA
PayPal: dogazyl@azet.sk
2% z dane: https://dogazyl.sk/podporte-nas#dane_2
ZO SRDCA ĎAKUJEME ZA PRÍSPEVKY! (celkové náklady: 1060,58€ veterina, 300€ rehabilitácia)
ZOZNAM DARCOV: 1075,77€
| Dáša Mendelová | 23,00 € | Figerova Romana | 20,00 € | |
| Semanova Katarina | 5,00 € | Czikorová Sofia | 20,00 € | |
| Serinova Beata | 3,00 € | Somorovská Monika | 5,00 € | |
| Petra Siažiková | 10,00 € | Nemček Martin | 20,00 € | |
| Jozef Faltus | 10,00 € | Jana Medvecká | 5,00 € | |
| Pinke Melinda, Mgr. | 10,00 € | Anonym | 10,00 € | |
| Revuca Lubomira | 20,00 € | Železňáková Daniela | 30,00 € | |
| Mikulova Katarina | 20,00 € | Daša Slobodová | 15,00 € | |
| Iveta Svatíková | 20,00 € | Mikocziova Eleonora | 30,00 € | |
| Valentova Martina | 50,00 € | Fekete Mária | 25,00 € | |
| Ondrasova Mariana | 15,00 € | Melková Mária | 15,00 € | |
| Figurová Jana, Mgr. | 20,00 € | Zboncakova Hana | 11,54 € | |
| Karbuniková Anna, JUDr. | 20,00 € | Zuzana Rogožníková | 19,23 € | |
| Calbu Sonia | 50,00 € | Jan Václavík | 11,54 € | |
| Jaňáková Elena | 10,00 € | Zdenka Bohuslavova | 15,38 € | |
| Ivana Vnuckova | 10,00 € | Holcová Helena | 3,85 € | |
| Lucia Kredatusová | 10,00 € | Josef Beran | 7,69 € | |
| Brockova Veronika | 5,00 € | Marianna Kunikova | 15,38 € | |
| Tatiana Živčicová | 5,00 € | Olga Ludrovska | 38,46 € | |
| Zuzana Petruňová | 20,00 € | Nahodilová Hana,Ing. | 9,62 € | |
| Peter Mičian | 2,00 € | Justova tereza | 269,23 € | |
| Sotorníková Jana | 10,00 € | Kolárová Juliana | 9,62 € | |
| Botkova Erika | 10,00 € | Brojírová Vratislava | 11,54 € | |
| Kubinakova Katarina | 10,00 € | Kralickova Jaroslava | 7,69 € | |
| Valéria Sotoniaková | 20,00 € | Petra Bilena | 5,00 € | |
| Klaudia Kubášová | 10,00 € | Lydia Cibulkova | 7,00 € | |
| Pobezalova Zuzana | 10,00 € | Lenka Pohorelcová | 10,00 € | |
| Patricia Bagameryova | 20,00 € |