Dostrieľané šteniatko prosí o pomoc!
14.11.2020
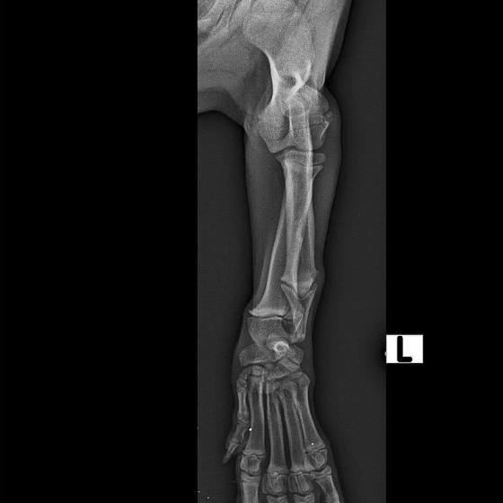
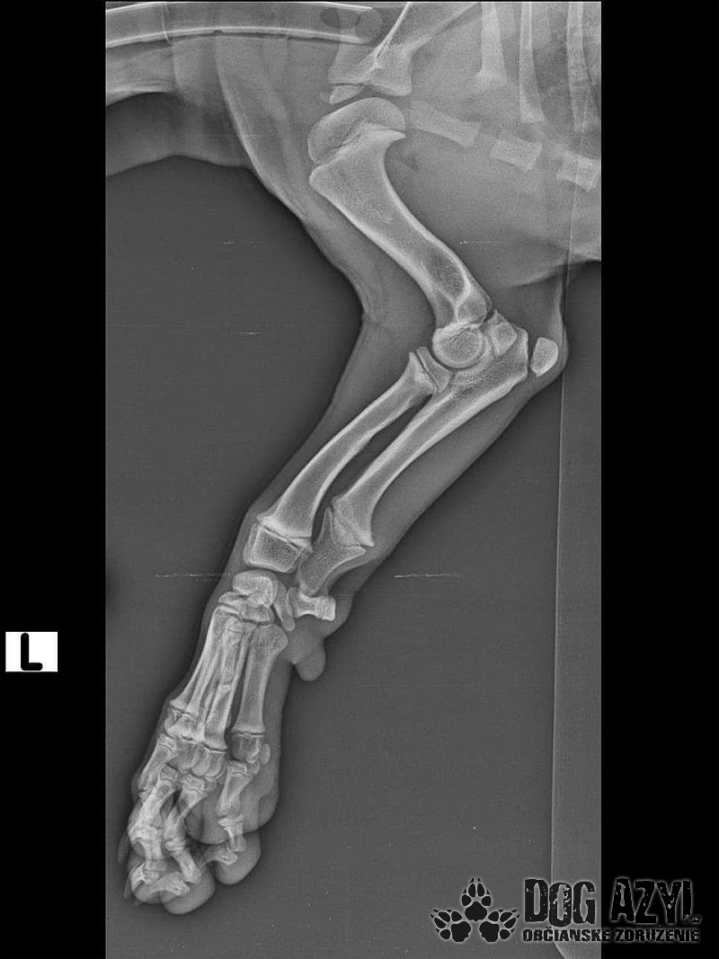
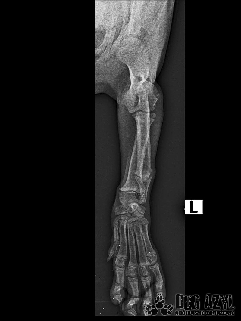
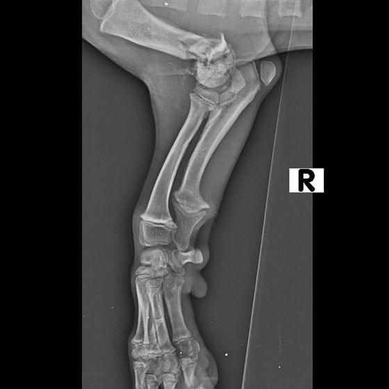
Pluto dnes absolvoval druhú operáciu. Vyberala sa platnička a veľká skrutka, ktorá sa nahradila menším pinom. Koncom mesiaca ho čaká ďalšia a dúfame, že už posledná operácia. Také malinké šteniatko a už toľko bolesti musí prežívať :( Má sa dobre, rastie do krásy a už sa pomaly može naplno šantiť so svojim kamošom v dočasnej opatere. :) Veľmi pekne prosíme, pomôžte nám s úhradou faktúr. Faktúry nájdete priebežne v galérii a na konci článku aj zoznam darcov s prijatou aj chýbajúcou sumou. Po poslednej operácii čakajú Pluta ešte mesiace rehabilitácie, aby sa nožička úplne rozhýbala a mohol ju používať naplno :)
Ďakujeme, že nám pomáhate pomáhať!
30.10.2020
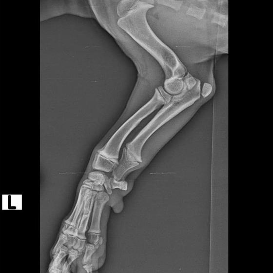
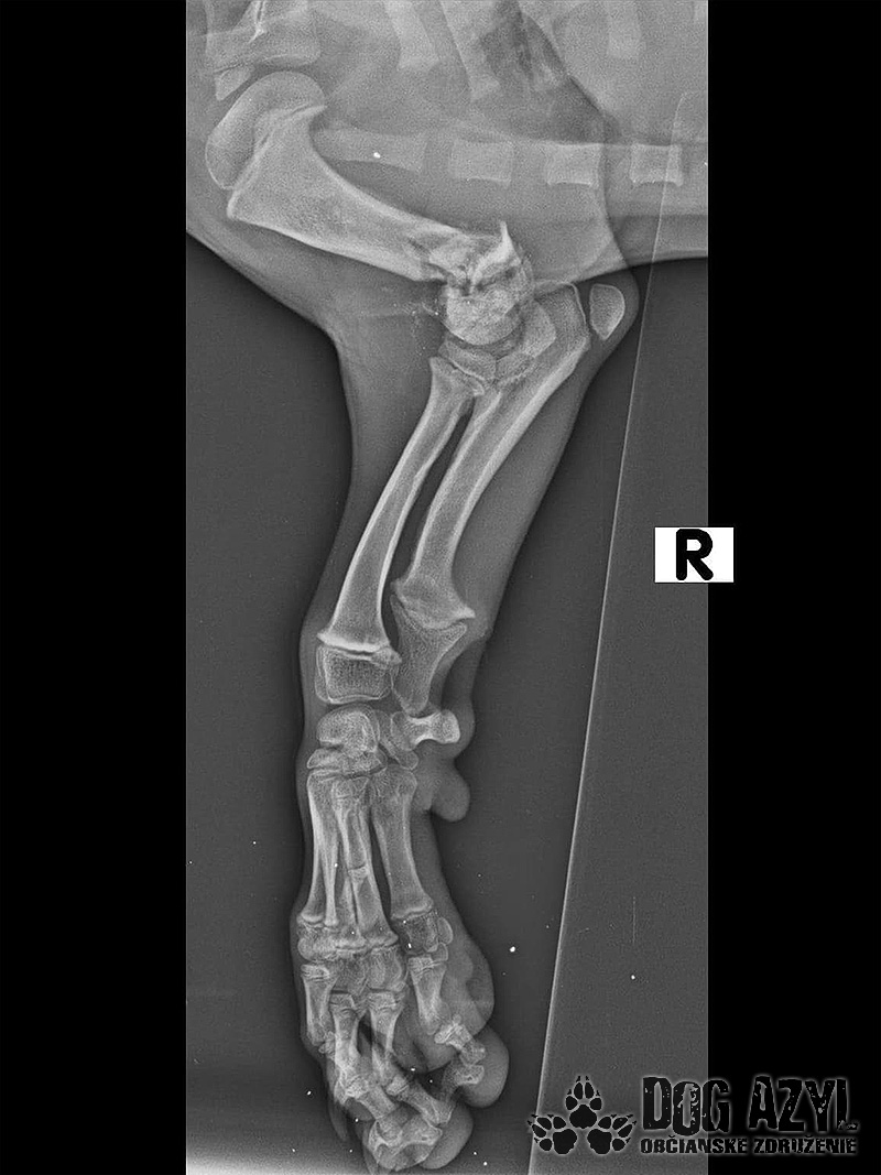
Je až neuveriteľné, že koľko zla je v ľuďoch. :( Pluto má asi dva mesiace a už si prešiel peklom!
Odoberal sa od drogovo závislých asociálov, ktorý boli vysťahovaný z domu. Ihly, striekačky, ľudské výkaly, rôzne neidentifikovateľné zvratky, špinavé oblečenie, použité kondómy - to všetko nahádzané na jednu kopu v obývačke, kde Pluto so svojou maminkou Miou žili. :( Nevieme ako sa to stalo, kto mu ublížil, ale Pluto má prestrelenú prednú nohu! Viete si predstaviť toho psychicky narušeného človeka, ktorý strieľa na malé bezbranné šteniatko? V dôsledku strelnej rany má doslova rozdrvenú lakťovú kosť. Mali sme veľké obavy, že o nožičku príde, ale MVDr. Vatolík s teamom veterinárnej kliniky Sibra centrum opäť urobil zázrak a malému nožičku napravil a prognóza je viac než dobrá. Čaká ho ešte dlhá cesta k zotaveniu, ale je to odvážny a statočný bojovník. Nechceme si ani len predstaviť čím všetkým si tie zvieratká muesli prejsť, a kto vie koľko ich pôvodne bolo.. Nikto nevie ako a kde skončili Plutovi súrodenci...
Urobíme pre krpca všetko možné aj nemožné, ale opäť Vás musíme poprosiť o pomoc s úhradou nákladov. Prvotné náklady sú už vo výške cez 1000€, každý týždeň 2x je potrebná výmena bandáže. Čaká ho výber platničky a nakoniec aj výber pinov. Nebude to jednoduché, ale zvládneme to!
V mene Pluta srdečne ďakujeme.
Číslo účtu:
Pre Slovensko Tatra Banka:
IBAN: SK4811000000002926895003
SWIFT: TATRSKBX
Účel platby: PLUTO
Pre Českú republiku FIO (transparent):
2101538925/2010
Účel platby: PLUTO
PayPal: dogazyl@azet.sk
2% z dane: https://dogazyl.sk/podporte-nas#dane_2
ZO SRDCA ĎAKUJEME ZA PRÍSPEVKY! 651,59€
(chýba ešte 413,34€)
ZOZNAM DARCOV:
| Kamila Hybská | 10,00 € |
| Denisa Pasečiaková | 50,00 € |
| Beznakova Lucia | 15,00 € |
| Nagyova Diana | 5,00 € |
| Tomas Gostic | 10,00 € |
| Calbu Sonia | 100,00 € |
| Grondzak Pechova Alena | 18,00 € |
| Hildegarda Hotz | 20,00 € |
| Dominika Adamková | 10,00 € |
| Barbara Tóth | 10,00 € |
| Erika Szöllösová | 20,00 € |
| Martina Psotová | 20,00 € |
| Daša Slobodová | 10,00 € |
| Vladena Medová | 5,00 € |
| Eva Sládečková | 15,00 € |
| Dáša Gulíková | 20,00 € |
| Eva Devečková | 48,46 € |
| Jana Minárová | 6,50 € |
| Havranová Jana | 10,00 € |
| Fusatý Lukáš, Mgr. | 20,00 € |
| Tóthová Mariana | 15,00 € |
| Martincova Simona | 7,69 € |
| Odstrcilova Ivana | 7,69 € |
| Zmeškalová Darina | 3,85 € |
| Zuzana Hermanová | 10,00 € |
| Sabína Bekmatovová | 5,00 € |
| Alena Melišková | 10,00 € |
| Ildikó Csémiová | 10,00 € |
| Anna Lukáčová | 10,00 € |
| Lepi Richard | 10,00 € |
| Jakubcak Jan | 20,00 € |
| Kolocsy Kristina | 5,00 € |
| Samuhelová Alexandra | 10,00 € |
| Hulinová Kristína | 5,90 € |
| Alžbeta Zigová | 5,00 € |
| Kristína Lalinská | 7,00 € |
| Klaudia Schniererová | 15,00 € |
| Slanina Juraj | 1,50 € |
| Velická Rečná Veroni | 10,00 € |
| Katonová Alexandra | 10,00 € |
| Vanková Petra, Ing., | 10,00 € |
| Véghová Mária | 20,00 € |
| Hýroš Michal | 20,00 € |