Mia - adoptovaná

Pohlavie
samica
Narodený(á)
máj 2015
Rasa
Váha
6kg
Výška
32cm

 

Zachránené zlatíčko MIA hľadá domov


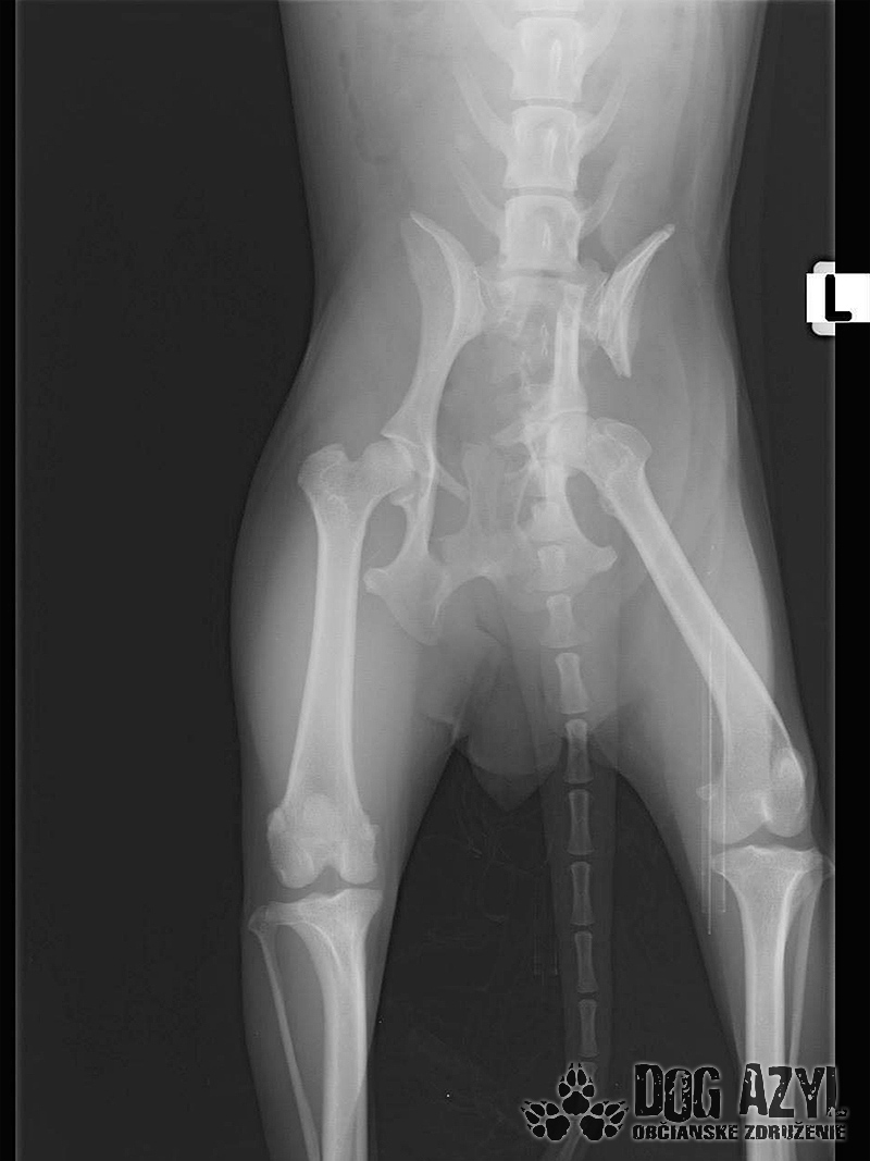
Mia, narodená máj 2015, sa našla zrazená v obci Bodza. Mala obrovské šťastie, že ju nálezkyňa ihneď naložila do auta a utekala s ňou k nášmu veterinárovi. Bola v katastrofálnom stave a mala obrovské bolesti :( Keďže Mia bola čipovaná, hneď sme sa dopátrali aj k majiteľom, ale na druhej strane telefónu nám bolo oznámené, že Miu darovali niekomu ale nemajú kontakt. Tak sme trocha pátrali a vypátrali sme, že Mia bola darovaná "do dobrých rúk" z postele priamo na dvor! Rodina sa tvárila veľmi zodpovedne a láskyplno, ale zrejme nepochopili,že Mia je kastrovaná a už nebude produkovať šteniatka. Po pár neúspešných pokus spáriť ju so samcom putovala do ďalších dobrých rúk" a to k miestnemu alkoholikovi, kde skončila v šope na reťazi a spala na kope hnoja :( Podarilo sa jej nejakým zázrakom ujsť, ale žiaľ skončila pod kolesami auta. Čomu sa vlastne ani nečudujeme, keďže cez tie zlepené chlpy nemala najmenšiu šancu vidieť pred seba. Mia podstúpila veľmi náročnú operáciu panvy, ktorá sa úspešne podarila, ale pri chladnejšom počasí zvykne trocha krívať. Mala tiež zlomený pst na zadnej nohe, ktorý sa zle zrástol a tak jej nechtík rastie trocha krivo a treba ho pravidelne strihať. Vôbec nič jej to však neuberá na kráse a chuti do života :) Mia si hľadá rodinu, ktorá jej vie sľúbiť, že ju nikdy viac neopustí. Je to skôr pokojná fenka, nie je vôbec náročná na pohyb ale na maznanie o to viac :) Veľmi rada sa túli k človeku, je veľmi priateľská a kontaktná. Vôbec jej nevadí spoločnosť iných psíkov ani mačiek ale nepotrebuje ich ku svojej spokojnosti :) Mia je dokonale vhodná do bytu, ale k malým deťom určite nie, má totiž rada svoje súkromie. Ak by sa mala adoptovať k rodinnému domu tak podmienkou je bývanie v dome.


Mia je odčervená, očkovaná, čipovaná, kastrovaná.


V prípade záujmu o adopciu píšte na dogazyl@azet.sk, alebo správu na Facebook OZ Dog Azyl


V prípade, že by ste mali možnosť prispieť finančne práve na Mia (veterina, krmivo..), môžete tak urobiť na účet: 2926857357/1100 (Tatra banka)
IBAN: SK27 1100 0000 0029 2685 7357
BIC: TATRSKBX
Heslo: MIA